KARCINOM DOJKE
1. Dob
Starija dob je najveći rizikofaktor za nastanak karcinoma dojke. Učestalost značajno raste od 35. do 40. godine, a nakon toga, nastavlja kontinuirano rasti.
2. Genetski faktori
Žene sa pozitivnom porodičnom anamnezom imaju povećan rizik od obolijevanja. Općenito gledano, samo 10% tumora dojke se može dovesti u vezu sa porodičnom sklonosti. Kod takvih žena bolest se obično javlja u mlađoj životnoj dobi, i često zahvata obje dojke. Dva gena, BRCA 1 i BRCA2 su dovedena u vezu sa nastankom nekih od porodičnih tumora dojke.
3. Menstruacioni i reproduktivni faktori
Žene koje imaju prvi porod nakon 30. i 35. godine, imaju četiri puta veći rizik za nastanak bolesti od žena koje su imale prvi porod u dobi 20-25 godina. Također, veći broj poroda je povezan sa manjom vjerovatnoćom nastanka karcinoma, te nerotkinje imaju četiri puta veću učestalost raka od žena koje su rađale. Godine u kojima se javljaju menopauza, menarha i prvi porod, te broj poroda, u direktnoj su vezi sa izloženosti djelovanju estrogena. Što je duža izoženost, veća je vjerovatnoća nastanka karcinoma. Zbog toga, kasna menarha, rana menopauza i veći broj poroda i rana prva trudnoća, smanjuju vjerovatnoću nastanka tumora dojke.
4. Gojaznost
Gojazne žene su pod većom izloženosti estrogenima. Estrogeni kod žena u postmenopauzi nastaju perifrnom konverzijom koja se najvećim dijelom odvija u masnom tkivu.
DIJAGNOZA
Glavne dijagnostičke metode za otkrivanje karcinoma dojke su: anamneza, fizikalni pregled i mamografija. Međutim, za postavljanje egzaktne dijagnoze potreban je pregled suspektnog tkiva pod mikroskopom.
Anamnezom je moguće utvrditi pojavu simptoma i znakova tumora dojke, te dužinu njihovog trajanja. Neophodno je odrediti i izloženost faktorima rizika.
Fizikalni pregled žene sa sumnjom na tumor dojke ili tokom periodičnog redovnog pregleda, započinje inspekcijom i stojećem ili sjedećem položaju sa rukama spuštenim niz tijelo. Na taj način se evidentira izgled i simetrija dojki, postojanje vidljivih promjena na koži dojke, povlačenje kože, ili povećanje regionalnih limfnih čvorova. Nakon toga, pacijentici se savjetuje da stavi ruke na bok te iznad glave, te se tako posmatra izgled dojki.Potrebno je palpirati dojke, ali i aksile (pazuhe) i supraklavikularne jame (područja regionalne limfne drenaže).
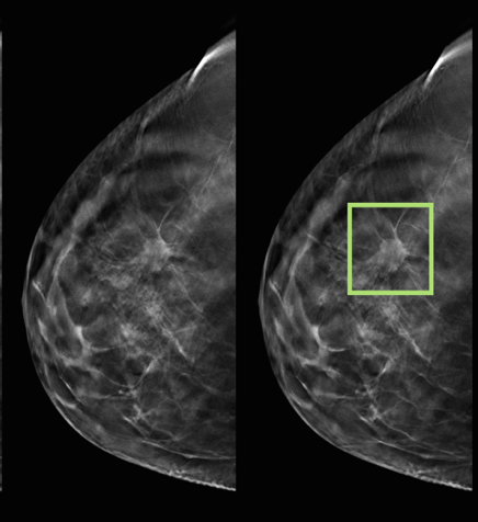
Mamografija je radiološka dijagnostička pretraga za ranu detekciju tumora dojke (nepalpabilni tumori), te za potvrdu palpabilnih tumora. Korištenjem u ranoj detekciji, momografija smanjuje smrtnost za 30%.
Preporuka je da svaka žena uradi prvi mamogram sa 45 godina (35-40 ukoliko ima pozitivnu porodičnu anamnezu). Nakon toga momografiju treba ponavljati svake 2-3 godine ili češće, ovisno o nalazima i ličnoj ili porodičnoj anamnezi.
Ultrazvučni pregled dojke je češće korišten od mamografije, ali je i manje senzitivan i specifičan u postavljanju dijagnoze tumora dojke. Razlog je u masnoj promjeni dojke nakon menopauze (žljezdano tkivo se zamjenjuje masnim), a ultrazvuk ne prodire dobro kroz masno tkivo.
Nakon klinički, mamografski i ultrazvučno detektovanog čvora koji je sumnjiv na tumor, mora se uraditi i citološka obrada (vrši se citološka punkcija i citološka analiza dobivnog sadržaja. Po potrebi se učini i biopsija debljim iglama (core biopsija) uz patohistološku analizu.
Nakon dokazanog primarnog tumora dojke, a prije početka liječenja, pacijenticu je potrebno uputiti na dijagnosticku obradu radi dokazivanja udaljenih metastaza, hematološke (KKS i DKS) pretrage, i biohemijske pretrage krvi, RTG pluća, uzv abdomena i scintigrafija skeleta. Tumorski markeri, od kojih se najčešće koristi CA 15-3, su tvari koje se nalaze u tijelu bolesnika u većoj koncentraciji nego u zdravom organizmu. Povišen je u 20-50% pacijentica sa karcinomom dojke, ali može biti i u 20% bolesnica sa dobroćudnim tumorima i sa gastrointestinalnim bolestima. Općenito, niti jedan marker pojedinačno niti u kombinaciji nije specifičan samo za rak dojke.
PODJELA
Tumor koji nastaje iz izvodnih kanala, naziva se 
duktalni tumor. Čini 70-80% svih tumora dojke. Najagresivnija je forma i često prelazi u invazivni oblik koji čini 75% karcinoma dojke. Tumor nastao iz žljezdanih lobula naziva se 
lobularni tumor (10-15%). Karakteristično je da se javlja u objema dojkama istovremeno ili naknadno kod 15-46% pacijentica.
PATOHISTOLOŠKA DIJAGNOZA
Prvi i osnovni korak u patohistološkoj dijagnozi karcinoma dojke je ocijeniti stepen njegove invazivnosti. Tako se, prema WHO klasifikaciji, karcinomi dojke dijele na invazivne i neinvazivne. Stepen invazivnosti podrazumijeva destrukciju bazalne membrane sa infiltracijom strome dojke i prisustvo ćelija u limfnim i vaskularnim prostorima i od izuzetne je važnosti za vrstu terapije i za prognozu daljeg toka bolesti. Postoje i rjeđe histološke forme: tubularni, mucinozni, papilarni, medularni.
TNM KLASIFIKACIJA
T – veličina tumora
N – status regionalnih limfnih čvorova
M – prisustvo ili odsustvo udaljenih metastaza
TERAPIJA
Hiruški zahvat je osnovni modalitet liječenja lokalnog, primarno operabilnog tumora dojke, a ima za cilj uklanjanje tumora i mogućih metastaza u limfne čvorove. Operativni zahvat može biti radikalan (mastektomija – uklanjanje cijele dojke) te poštedan (uklanjanje dijela dojke sa tumorom – kvadrantektomija, segmentektomija).
U cilju što boljeg odabira pacijentica za radiklanu operaciju limfnih čvorova radi se biopsija limfnog čvora čuvara, prvog drenirajućeg čvora u aksili (sentinel lymph node biopsy – SLNB). Ako je limfni čvor – čuvar zahvaćen tumorom, radi se disekcija, odnosno uklanjaju se hirurški limfni čvorovi aksile. Tačnost ove metode je 98%. Nažalost, većina medicinskih ustanova ne koristi ovu metodu SLNB čvora čuvara, nego se nakon hiruškog zahvata na dojci radi u istom aktu i evakuacija limfnih čvorova aksile. Korištenjem SLNB smanjuje se učestalost limfedema, pokretljivost i oštećenje inervacije ruke.
Nakon hiruškog zahvata i patohistološkog nalaza tumora, procjenjuje se stadij bolesti tj. stepen vjerovatnoće pojave lokalnog recidiva ili diseminacije bolesti. Adjuvantna (dodatna, zaštitna) kemoterapija se indicira kod pacijentica srednjeg i visokog rizika sa ciljem uništavanja mogućih zaostalih metastaza tumora. Koriste se različite kombinacije citostatika. Kemoterapija smanjuje smrtnost od raka dojke za 30%. Sve pacijentice sa pozitivnim limfnim čvorovima u aksili trebaju primiti kemoterapiju. Adjuvantna radioterapija indicira se nakon hiruških zahvata, a uključuje dojku, te u slučaju zahvaćenosti aksilarnih limfnih čvorova, i aksilu. Obavezno se radi kod svih poštednih zahvata i kod radikalnih zahvata većih tumora, većeg broja zahvaćenih limfnih čvorova (4 i više) te većeg rizika ponovne pojave bolesti (resekcione margine hiruškog reza manje od 10 cm). Adjuvantna hormonska terapija provodi se nakon adjuvantne radioterapije kod pacijentica koje imaju nalaz hormonskih receptora pozitivan (estrogenskih i progesteronskih).
U liječenju lokalnog, ali primarno operabilnog tumora dojke, primarno se koriste kemoterapija ili hormonska terapija. Takvo plasiranje kemoterapije ili hormonske terapije naziva se neoadjuvantna terapija. Nakon očekivanog rezultata uradi se operacija odnosno ukoliko se ne dobije očekivani odgovor, tj. smanjenje tumora, primjenjuje se primarna radioterapija. U liječenju metastatske bolesti koristi se kemoterapija, odnosno hormonska terapija koja ovisi od osobina tumora. Metastaze tumora dojke javljaju se na kostima (20-60%), plućima (15%), CNS (5-10%), lokoregionalno (20-40%).
PREPORUKE ZA SKRINING NA RAK DOJKE
Skrining, kao organizovani način sekundarne prevencije karcinoma dojke, obično započinje od 45.godine života kod žena koje ne pripadaju rizičnoj skupini, a kod visokorizičnih i ranije tj. od 40. godine. Žene u dobi od 40 godina trebale bi uraditi samopregled, jednom godišnje klinički pregled, ultrazvučni pregled i mamografiju. Žene sa povećanim rizikom (pozitivnom porodičnom historijom, genetskom predispozicijom, ranijim karcinomima u drugoj dojci) trebaju se konsultovati sa svojim doktorima o započinjanju kontrolnih skrining pregleda i ranije.
REFERENCE
1. Vrdoljak E., Šamija M., Kusić Z., Petković M., Gugić D., Krajina Z., Klinička onkologija, Medicinska naklada, Zagreb, 2013
2. Mekić – Abazović A., Bečulić H., Dizdarević N., Dervišević S., Šišić I., Neoadjuvantni tretman permagnum karcinoma dojke sa negativnim limfnim čvorovima, Bilten Ljekarske komore ZeDo kantona, 2013
3. MSD Priručnik za karcinom dojke
4. Zavod za javno zdravstvo Dubrovačko-neretvanske županije





















