UROĐENE SRČANE MANE ODRASLIH (USM)

Amir Merdović • November 3, 2020
Kao što i sam naslov kaže, u ovom tekstu, pisat ću opširnije o kongenitalnim srčanim greškama u adultnoj populaciji. Naime, radi se o abnormalnosti u građi i/ili funkciji srca koja je prisutna od samog rođenja, a klinički se može manifestirati i u odrasloj dobi. Uzroci nastanka ovih poremećaja nisu još uvijek u potpunosti razjašnjeni, ali se smatra da postoji fuzija genetike, okolinskih faktora i bolesti majke u trudnoći. Smatra se da se češće javljaju kod djece koja imaju npr. trizomiju 21 i 13, kod izloženosti tzv. TORCH komplexu, radijaciji, talidomidu, kao i kod djece čije majke konzumiraju alkohol ili imaju dijabetes. 

Glavna podjela USM jeste na acijanotične i cijanotične. Nadalje, acijanotične se dijele na one sa prisustvom lijevo-desnog šanta i na one bez šanta. U prvu grupu ubrajaju se: atrijalni septalni defekt (ASD), ventrikularni septalni defekt (VSD) i perzistentni ductus arteriosus (PDA). U drugu skupinu ubrajaju se: koarktacija aorte (CoA), pulmonalna stenoza i urođena bikuspidalna aortna valvula. U cijanotične USM ubrajaju se Tetralogija Fallot, Ebstainova anomalija trikuspidalnog zalistka i kompletna transpozicija arterijskih krvnih sudova. Kauzalna terapija je hirurška, a postoji i simptomatsko medikamentozno tretiranje bolesnika (npr. profilaksa endokarditisa, liječenje aritmija...). U ovom prvom dijelu ove široke teme detaljnije ću se pozabaviti ASD-om i VSD-om.

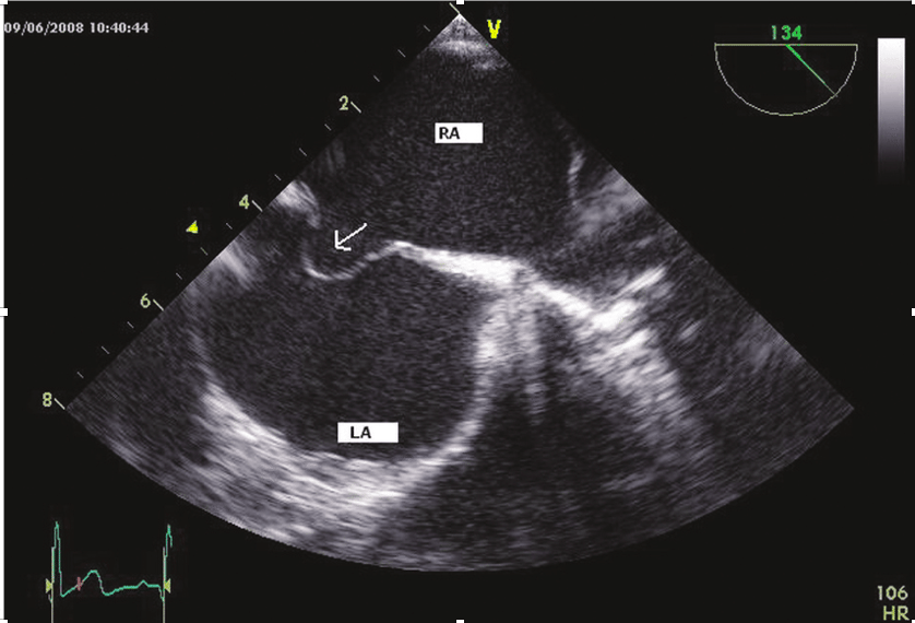
ATRIJALNI SEPTALNI DEFEKT

ASD predstavlja jednu od najčešćih USM kod odraslih koja se karakteriše prisustvom defekta između desne i lijeve pretkomore. Taj defekt može biti varijabilne veličine, od 1 cm pa do potpunog izostanka pregrade. Javlja se 2-3 puta više kod ženskog pola.

Postoje dva osnovna tipa ASD-a. Prvi je defekt tipa secundum (70%) koji može biti lokaliziran u blizini gornje šuplje vene (i tada se označava kao defekt tipa sinus venosus) i može biti lokaliziran u blizini donje šuplje vene. Defekt tipa sinus venosus praćen je abnormalnim utokom plućnih vena, a defekt lokaliziran u blizini donje šuplje vene je dosta rijedak jer je mali broj bolesnika koji su bez simptoma do odraslog doba, i on je praćen prisustvom desno-lijevog šanta. Drugi tip je defekt tipa primum, koji se javlja u 20% slučajeva i povezan je sa Downovim sindromom. Ovaj tip je obično praćen kongenitalnim rascjepom prednjeg mitralnog kuspisa i mitralnom insuficijencijom.

ASD može da bude asimptomatski do 30. ili 40. godine. Postepeno se javljaju dispnea, zamor, palpitacije, zatim atrijalna fibrilacija i eventualno srčano popuštanje. U fizikalnom pregledu naći ćemo: sistolni šum nad pulmonalnim ušćem, holosistolički šum nad apeksom ako se radi o defektu tipa primum. Na EKG-u naći će se inkompletni blok desne grane, dekstrogram kod defekta tipa sekundum, i sinistrogram kod defekta tipa primum. Na RTG cor et pulmo naći ćemo uvećanu desnu pretkomoru, desnu komoru i truncus pulmonalis. Zlatni standard za postavljanje dijagnoze je transezofagealna ehokardiografija.

Glavni terapijski izbor jeste hirurško zatvaranje defekta. Indikacija za hiruršku intervenciju jeste postojanje odnosa između plućnog i sistemskog protoka krvi od 1,51 i više, a kontraindikacije su prisustvo desno-lijevog šanta tj. Eissenmengerovog sindroma, te opsežna plućna hipertenzija.

Hirurška obrada defekata tipa sekundum zasniva se na zatvaranju direktnom suturom (šavom) ili zakrpom (tzv.patch). Posebno treba voditi računa kod defekta tipa sinus venosusa jer može doći do stenoze gornje šuplje vene i do ometanja utoka krvi kroz plućne vene. Defekt tipa primum podrazumijeva i obradu rascjepljenog prednjeg mitralnog kuspisa i eventualno ugradnju vještačke valvule. Pored ovoga kod mlađih pacijenata efikasnim se pokazalo i perkutano transkatetersko zatvaranje defekta. Naravno, potrebno je medikamentozno kupirati atrijalnu fibrilaciju ili supraventrikularnu tahikardiju ukoliko se pojave kod pacijenta. Komplikacije hirurškog tretmana, kako rane tako i kasne, su izuzetno rijetke.

VENTRIKULARNI SEPTALNI DEFEKT

VSD predstavlja srčanu grešku kod koje postoji komunikacija između desne i lijeve komore u vidu defekta u komornom septumu. Postoje četiri osnovna tipa VSD-a i to: membranozni (najčešći), subpulmonalni (poznat i kao suprakristalni jer se nalazi iznad crystae supraventricularis), muskularni i posteriorni. Postoje i dva posebna tipa: Gerbodeov (komunikacija lijeve komore i desne pretkomore) i Rogerov (sitni VSD koji spontano zacijeli).

Anamnestički ova mana može biti asimptomatska, a kasnije se javljaju umor i smanjeno podnošenje napora. U uznapredovalom stadiju česte su rekurentne infekcije, usporen rast i razvoj i na kraju razvoj srčanog popuštanja. Fizikalnim nalazom pronaći će se sistolni tril i holosistolni šum uz lijevi rub prsne kosti u području 3. i 4. međurebarnog prostora. Na EKG-u obično nema vidljivih promjena, a RTG cor i pulmo očituje se uvećanjem lijeve komore , pretkomore i truncus pulmonalisa.

Kao i kod prethodne anomalije i kod VSD terapijski standard jeste hirurško zatvaranje defekta. Ukoliko je defekt veličine do 1 cm treba sačekati do 8. godine života jer se kod 90% djece samostalno zatvori. Veliki defekti zahtjevaju hiruršku intervenciju tokom prve godine. Indikacije su: odnos plućnog i sistemskog protoka krvi veći od 2:1, veoma izražena simptomatologija, aortna insuficijencija i rekurentni bakterijski endokarditis. Suprakristalni tip zahtjeva pristup defektu kroz pulmonalnu valvulu, a kod ostala tri tipa obično se koristi pristup kroz desnu pretkomoru. Manje defekte moguće je sanirati direktnom suturom, ali veći defekti zahtjevaju upotrebu „patch-ova“ od perikarda ili sintetskog materijala uz upotrebu ekstrakorporalne cirkulacije. U prošlosti se, ukoliko je bilo potrebno odgoditi rani operativni zahvat, u najranijoj dobi postavljala vrpca oko plućne arterije u cilju zaštite od razvoja plućne hipertenzije i odgode operativnog zahvata do 4. godine života. Rezultati operativnog zahvata su odlični, a jedina opisana rana komplikacija jeste ozljeda sprovodnog sistema srca.




U sljedećem tekstu na ovu temu obradit ću perzistentni ductus arteriosus (PDA) i koarktaciju aorte (CoA).


 

Reference:

  1. Delibegović S.,Krdžalić G., Pašić F. Hirurgija Kirurgija, Sarajevo: Dobra knjiga; 2020.
  2. Fauci A., Braunwald E., Kasper D., Hauser S., Longo D., Jameson J., Loscalzo J. Harisonov priručnik medicine, Beograd: Data Status; 2016.
  3. Konjhodžić F. Hirurgija, Sarajevo: Institut za NIR KCUS-a; 2001.
  4. Kumar V., Abbas A., Fausto N., Mitchell R. Robinsove osnove patologije, Beograd: Data Status; 2010.
  5. Kvesić A. Kirurgija, Zagreb: Medicinska naklada; 2016.


By ABCDoktori April 9, 2025
Dojenje je više od nutritivne podrške – ono je temelj optimalnog rasta i razvoja djeteta, ali i važan faktor u očuvanju zdravlja majke. Kao zdravstveni radnici, naša je dužnost da prepoznamo kliničke i psihološke aspekte dojenja i izdajanja, da pružimo tačne informacije, te da aktivno učestvujemo u zaštiti, promociji i podršci dojenja. Majčino mlijeko je živa tekućina – bogata imunološkim faktorima (IgA, leukociti, lizozimi, laktoferin), probiotskim komponentama i specifičnim nutrijentima optimalno prilagođenim dobi i potrebama djeteta. Kolostrum, prve kapi mlijeka, sadrži visoke koncentracije imunoglobulina i djeluje kao "prva vakcina". Hormoni uključeni u proces laktacije uključuju: Prolaktin – stimulira proizvodnju mlijeka Oksitocin – omogućava otpuštanje mlijeka putem refleksa otpuštanja (let-down reflex) Izdajanje predstavlja ključni alat u održavanju laktacije kada dojenje nije moguće direktno. Indikacije za izdajanje uključuju: Bebe koje ne mogu sisati (npr. prijevremeno rođene, bolesne) Razdvojenost majke i djeteta (npr. hospitalizacija) Potreba za povećanjem produkcije mlijeka Uklanjanje viška mlijeka kod prepunjenih dojki ili mastitisa Moderno izdavanje se najčešće provodi pomoću električnih pumpi – jednostrukih ili duplih – a pravilna higijena i pravilno skladištenje mlijeka su od ključnog značaja! Kako to izgleda u praksi? Nažalost, u mnogim zdravstvenim sistemima podrška dojenju često se svodi na formalno spominjanje „važnosti majčinog mlijeka“ bez konkretnih savjeta, empatije i vremena da se žena zaista osjeti podržano. Kliničke prednosti dojenja Za dijete: Smanjuje incidencu infekcija (gastrointestinalnih, respiratornih, urinarnih) Smanjuje rizik od SIDS-a Poboljšava neurokognitivni razvoj Ima dugoročne koristi: manji rizik od pretilosti, dijabetesa tipa 1 i 2, alergijskih bolesti Za majku: Brža involucija materice i smanjenje postpartalnog krvarenja Niži rizik od raka dojke, jajnika i dijabetesa tipa 2 Pomaže u regulaciji tjelesne težine nakon poroda Jača emocionalnu povezanost s djetetom Evo kako to, nažalost, izgleda u praksi kod nas i u sličnim okruženjima: Žena rodi, često iscrpljena, prepadnuta. Prvi podoj se preskoči, niko joj ne pokaže kako da pravilno prisloni bebu, a ako beba ne sisa odmah – majci se govori da „nema mlijeka“. Ako insistira na dojenju, često se susretne s pasivno-agresivnim komentarima. Umjesto da joj se pomogne da se opusti i uhvati ritam sa bebom, bebi se nudi formula „da se ne muči“. U najboljem slučaju dobije štur savjet „samo stavljaj često na dojku“, bez uvida u tehniku, bolne bradavice, prepunjenost dojki, ili stvarnu procjenu unosa mlijeka. Ako dođe do problema, često joj se preporuči da „pređe na adaptirano“. Ako majka izdoji i donese mlijeko za hospitalizovanu bebu, često se to mlijeko ne iskoristi ili se ne zna pravilno skladištiti. Ljekari i sestre često nisu obučeni za savjetovanje o dojenju, niti to smatraju svojim poslom. Ponekad se čak omalovažava trud majke koja izdoji kao „pretjerivanje“. Majka se osjeća usamljeno, zbunjeno, pod pritiskom – s jedne strane „mora dojiti“, a s druge „niko joj ne pomaže“. Niti ima jasne upute, niti emocionalnu podršku, i često na kraju odustane – uz osjećaj krivice. Kako bi trebalo da izgleda? Zdravstveni radnici obučeni za savjetovanje o dojenju Prva pomoć kod problema (mastitis, ragade, hipogalaktija) Jasne i provjerene informacije (ne mitovi i lična uvjerenja) Podrška izdajalicama i majkama koje su razdvojene od beba Empatija – slušanje bez osuđivanja Kako se možete edukovati da svojim pacijenticama pružite prave informacije? Zdravstveni radnici su često prvi (i jedini) izvor informacija za majke. Zato je važno da ono što im kažemo bude zasnovano na dokazima, oslobođeno mitova i dobrobrih namjera koje mogu štetiti. Dobra vijest je da edukacija iz ove oblasti postoji – i dostupna je! 1. Osnovna edukacija o laktaciji i dojenju Kursevi i radionice za medicinske sestre, tehničare i ljekare (online i uživo) Primjeri: UNICEF & WHO Baby-Friendly Hospital Initiative (BFHI) – 20-satni kurs Lactation Education Resources (LER) – online kursevi sa certifikatima Edukacije od strane IBCLC savjetnica (International Board Certified Lactation Consultant) 2. Upoznavanje sa preporukama po svjetskim standardima Svjetska zdravstvena organizacija (SZO/WHO) – preporučuje isključivo dojenje do 6 mjeseci, uz nastavak dojenja do 2. godine i duže Američka pedijatrijska akademija (AAP), European Society for Paediatric Gastroenterology, Hepatology and Nutrition (ESPGHAN) – redovno izdaju ažurirane smjernice 3. Praktične vještine koje možete savladati Prepoznavanje pravilnog položaja i prihvata Procjena učinkovitog sisanja Rješavanje problema: ragade, mastitis, hipogalaktija, prepunjenost Savjeti za pravilno izdajanje i čuvanje mlijeka Kako pružiti emocionalnu podršku, ne samo kliničku 4. Preporučiti pacijenticama edukacije sa certificiranim savjetnicima za dojenje - to su često dule, medicinske sestre i drugi. Za dalje čitanje: Infant and young child feeding: Model Chapter for Textbooks for Medical Students and Allied Health Professionals https://www.who.int/publications/i/item/9789241597494 WHO Recommendations on Breastfeeding (2023) https://www.who.int/news-room/fact-sheets/detail/breastfeeding American Academy of Pediatrics (AAP) Policy Statement: Breastfeeding and the Use of Human Milk (2022) https://doi.org/10.1542/peds.2022-057988 Academy of Breastfeeding Medicine (ABM) – Clinical Protocols https://www.bfmed.org/protocols Proper Storage and Preparation of Breast Milk https://www.cdc.gov/breastfeeding/recommendations/handling_breastmilk.htm LactMed (U.S. National Library of Medicine) https://www.ncbi.nlm.nih.gov/books/NBK501922/
By dr. Arnela Ćosić-Fako: dijete djeteta sa urođenom srčanom manom March 1, 2025
Rođena jednog hladnog zimskog jutra, igrom slučaja u jednom selu kraj Stoca kao sedmanče davne 1962. godine. Sva njega koja je potrebna jednom prematurusu je uskraćena. Kada su se stekli uslovi za putovanje vraćaju se u Sarajevo gdje je ustanovljena srčana mana a izgledi za njeno preživljavanje gotovo nikakvi. Moja majka imala je anomalni utok pulmonalnih vena i ASD. Obišli su sve centre bivše Jugoslavije, pregledana i od strane u to doba najčuvenijeg hirurga, Isidor Papo koji je bio lični Titov ljekar. On je rekao da ne može pomoći i da su šanse male... Medjutim, ona je rasla i borila se, plavičasta, mršava i slabašna bezbroj puta hospitalizirana na Pedijatrijskoj klinici Jezero. Iz bolničkog kreveta obavljala i školske obaveze. U njenoj četrnaestoj godini 1976. u Ljubljani je obavljen operativni zahvat, a zbog nekih komplikacija u prvih 24 sata i reoperacija. Sve je je preživjela. Oporavak je bio dug, preko pola godine je bila u bolnici a veći dio toga vremena u intenzivnoj njezi. Njen život je uveliko olakšan nakon toga ali je ona vec imala razvijenu hipertrofiju i permanentnu FA. Cijeli život je provela na diureticima i antiaritmicima. Ostvarila se i kao supruga i majka iako je trudnoća za nju bila zabranjena i predstavljala je veliki rizik. Kasnije u životu susrela se sa brojnim i drugim zdravstvenim tegobama, ali se borila.. Srce moje lavice je prestalo kucati 2020. U spomen na moju rahmetli majku i njenu životnu borbu, iako su mogućnosti za liječenje tada i sada neuporedive, mislim da su ta malena srca ne samo morfološki drugačija, nego su drugačija i u svakom drugom smislu, jača su, to su srca malenih boraca... 
By Belma Ramić Osmanović March 1, 2025
Zovem se Belma, majka sam jedne prelijepe djevojčice koja se zove Tajra. Prošli smo jako težak put i ovom prilikom želimo dati podršku roditeljima koji prolaze isto. Tajra ima 3 godine i njena dijagnoza je HRHS. Dolazimo iz malenog mjesta Srednje blizu Ilijaša. Moja trudnoća je bila uredna, išla sam redovno na preglede, sve je bilo u najboljem redu do 7 mjeseca. Sjećam se, bio je 07.07.2021. godine kada sam otišla na redovnu kontrolu nadajući se da će sve biti uredu kao i uvijek. Međutim, doktorica je imala jako zabrinut pogled dok je vršila pregled... to me jako uplašilo te sam je upitala da li je sve uredu, a ona onako zabrinutim pogledom, blijedim licem, reče da je uočila neku promjenu na srcu i da nije sigurna o čemu se tu tačno radi, pa me šalje na dodatne pretrage. U tom trenutku nisam bila svjesna šta se dešava, jel ja to dobro čujem? Nakon obavljenog pregleda kod doktora fetalne ehokardiografije, dobijam informaciju da moja beba ima tešku srčanu manu, tačnije hipoplastično desno srce. Za mene je u tom trenutku svijet stao. Prva pomisao mi je bila "Zašto baš ona, zašto baš nama da se ovo desi? "... Jednostavno doživjela sam šok, i sad kad se sjetim tog dana, obuzme me neka jeza i nemir. Naš put od saznanja mane pa do danas je bio dug i težak. Tajra je rođena 15.11.2021. u 16:08h, teška 2100kg, visoka 48cm. Moja mala pahuljica.. 
By Samra Mušinović February 22, 2025
Moje ime je Samra Mušinović. Majka sam dječaka Emina koji sada ima 8 godina, rođenog sa urođenom srčanom manom po nazivu ALCAPA (anomalno odvajanje lijeve koronarne arterije od pluća). 04.12.2016. postaje naš najsretniji dan, na svijet dolazi naš Emin, zdrava i uredna beba kako je kroz sve preglede u toku trudnoće konstatovano od strane doktora. Našoj sreći nema kraja. Te okice su bile naljepše na cijelom svijetu. Kako nam je Emin prvo dijete nisam puno znala o postupcima, pokretima, ponašanju i simptomima novorođenčeta, ali brzo nakon poroda (5 dan) primjetila sam da beba ne diše dobro. Odlazimo na kontrolni pregled u bolnicu „Safet Mujić“ gdje dežurni pedijatar utvrđuje da je sve uredu i da su to „normalne reakcije“. Vraćamo se kući i nastavljamo normalno da se ponašamo uz ubjeđenje da je sve uredu. Iz dana u dan pojavljivali su se sve češći problemi i simptomi kao što su ubrzano disanje, plavilo na usnama, grčenje itd. 31.01.2017. ponovo odlazimo u bolnicu zbog velikog plavila na usnama, čudnog gubitka glasa u toku plača i otežanog disanja, gdje ponovo dežurni pedijatar ne daje konkretnu dijagnozu i brzo nas vraćaju kući. 06.02.2017. do sada najgori dan, Emin diše ali nikako ga nismo mogli probuditi, panično odlazimo u istu bolnicu gdje nas prima šef pedijatrije dr. Šehović i ostajemo na posmatranju tri dana gdje nikako nije uspostavljena konkretna dijagnoza a beba je bila sve lošija. Treći dan nas šalju na SKB Mostar, gdje je odmah po prijemu i obavljanju prvih pretraga jedna doktorica otvorila na računaru sliku Eminovih pluća i samo izgovorila „pozovite kardiologa“. Uporedo se rade razne pretrage i smještaju nas na odjel pedijatrije gdje se nakon kratkog vremena pojavljuje dr. Vlado Jegdić, predstavlja se i upoznaje nas da će izvršiti kardiološki pregled srca. Iznenađeno i zabrinuto lice doktora dok gleda u monitor koji mi ne razumijemo, bilo je više nego sumnjivo. Nakon nekoliko minuta pregleda doktor nam saopštava užasnu činjenicu da naš Emin ima jako tešku srčanu manu, da je stanje loše i da moramo što hitnije prebaciti dijete u neke veće zdrastvene ustanove. U haosu koji nas je zadesio ni slutili nismo da smo upoznali jednog od glavnih spasioca našeg Emina, koji je odmah djelovao da postojeće stanje koje je loše ublaži koliko može, smješta bebu na odjel intezivne njege i odmah pristupa organizaciji transporta, pratnje i prijema na UKC Sarajevo, što se i dogodilo u ranim jutarnjim satima narednog dana. U Sarajevu ostajemo narednih mjesec dana gdje je potvrđena srčana mana katerizacijom srca koju je uradio dr.Mirza Halimić. Razdoblje od 30 dana za nekoga nije dugo, ali je za nas bilo kao vječnost. Gledati svoje dijete od samo par mjeseci života na kojem je prikopčano mnogo aparata, braonila, cjevčica je nešto što nijednom roditelju ne bi poželjela. Dani isčekivanja, nadanja, molbi upućivanih dragom Bogu da ti spasi najvoljenije su trajali kao vječnosti. Pozivi rodbine, prijatelja, su davali neku snagu, davali nam doznanja da nismo sami. U bolnici upoznajemo i druge roditelje koji su u istoj borbi kao i mi, sa različitim dijagnozama. Shvatamo da smo jedno poglavlje naših života završili, sada ide drugo, puno drugačije, odlučnije, borbenije, ali stalno uz nadu da će proći, da će biti sve dobro, nismo se predavali i padali u depresiju jer smo znali da tako nećemo pomoći svom djetetu. Iz Sarajeva Emin i ja odlazimo za Tursku u bolicu Acibadem 06.03.2017. godine sanitetski letom. Naredna dva dana smo bili u sobi gdje se rade razne pretrage. Dolazi 8.mart, dan žena i moj rođendan, ništa od toga mi nije na pameti, ništa mi nije važno, moja misao je samo uz Emina i njegovo srce. Sve mi je strano, jezik ne znam, gledam u lica doktoa, sa njihovih pogleda pokušavam saznati stanje. Izrazi lica nisu obećavali. Prevodioc mi saopštava vijest koja ledi krv užilama, Eminovo srce radi samo 17%, stanje je teško i ne daje nadu da će preživjeti. Doktor je rekao da dođe otac iz Bosne, kako bi dijete vidjeo vjerovatno posljednji put. To su riječi koje i dan danas odzvanjaju u ušima. Operacija je počela, trajala je 10 sati, doktori ulaze izlaze, ništa ne znaš, stanje koje se ne može opisati riječima. Poslije operacije doktor izlazi i prevodioc kaže da je operacija završena, da je najvažnije da srce kuca, ali da je stanje teško, da još ništa ne obećava. Uvode nas u salu da vidimo Emina, njegovo malo tijelo je prikopčano na aparate, od njih skoro da ga i ne vidimo. U tom momentu osjećanja su izmješana, sreća jer je preživio operaciju a s druge strane strah šta i kako dalje.
By Lejla Kličić February 18, 2025
Moje ime je Lejla Kličić, iz Cazina sam, imam dvije kćerke, a jedna od njih – starija djevojčica Sara, ima urođenu srčanu manu. Sara je rođena 24.01.2020. godine u Bihaću, kao dijete iz uredno vođene trudnoće, te joj je nakon rođenja, po pregledu pedijatra ustanovljena srčana mana – VSD. Dolazak bebe je sam po sebi nešto sasvim novo i suviše emotivno za svaku majku, a kada naknadno saznate da postoji „neki problem“ onda je sve skupa još teže. Miješali su se osjećaji - velika ljubav i još veći strah, strah za dijete i sve ono što slijedi. Sigurna sam da su u 99 % slučajeva prvo na umu pitanja „Zašto baš mom djetetu?“, „Zašto baš ja?“ i sl. Međutim, kada prihvatite dijagnozu djeteta i uhvatite se u koštac sa životom, odlučni u namjeri da savladate sve što dolazi, onda se problemi više ne nazivaju problemima, nego izazovima. Sa 7 mjeseci Sara je imala prvu operaciju u Sarajevu. Usuđujem se reći da je bila samo djelomično uspješna jer joj je produžila život, ali ne i riješila problem. VSD ili „rupica“ na srcu nije zatvorena, a doktorica u Beogradu rekla nam je da je njena mana kompleksnija, i da je pored VSD-a tu i „propuštanje“ mitralne valvule (zalistak).
By Senka Kulenović Delić-Redžepagić February 18, 2025
Dragi roditelji, naša beba je uspješno operirana 17.04.2023. godine u Linzu. Pišem kako bih dala korisne informacije na jednom mjestu za roditelje koje ovo sve tek čeka s nadom da će im biti od pomoći SMJEŠTAJ: Kada Vašoj bebi bude odobrena operacija, dobit ćete prijedlog od bolnice da se smjestite u Teddy House ili u Harry's Home. Mi smo vrijeme proveli u oba smještaja. Teddiju se javite odmah, pa i ako ne budu imali odmah mjesto, sačekajte, zna se brzo osloboditi kroz par dana. Harry's Home - smještaj tipa apartmana sa kuhinjom, kupatilom, bračnim krevetom, te možete tražiti kinderbed. Doručak i veš mašina se odvojeno plaćaju. Njihov doručak je oko 13€ po osobi, pa se ne isplati na duže staze, ali kuhanje u sobi je moguće. Imaju svoj parking i prodavnice u blizini. Čisto je, moderno, uredno i ljubazni su. Udaljeni su oko 15 min vožnje autom od bolnice. Po meni je ovo bolja opcija ako dolazite na dan, dva (tipa na kontrolu i slično). Njihov mail je: linz@harrys-home.com (iz bolnice šalju neki nevažeći mail pa koristite ovaj). Teddy Haus - definitivno bolja opcija na duže staze, što zbog cijenovne pristupačnosti što zbog blizine (3 min pješice). Smještaj je zaista vrlo čist i uredan, moderno opremljen svim mogućim potrepštinama i na tome nisu štedili, i to se posebno vidi na kuhinji. Koncept je takav da svaki sprat ima 4 spavaće sobe (dobijete svoj ključ), a ostale prostorije (kuhinja, toalet muški i ženski te kupatilo) su zajedničke. To je ujedno i jedina mana po meni, odnosno dijeljenje kupatila sa još tri porodice. Međutim, čišćenje je redovno svaki dan osim subotom i nedjeljom. Dobijete peškire i posteljinu, na raspolaganju su vam i pegla, daska za peglanje, usisivač, grijači bebi bočica i sl. U kupatilu se nalazi veš mašina/sušilica koju možete koristiti po cijeni od 1,5€ po korištenju. U blizini se nalazi parking koji možete koristiti po cijeni od 3,5€ na dan, te svakako tražite tu opciju od Teddy Haus osoblja. Prije dolaska se prijavite za membership, tako vam smještaj po danu bude 15€, umjesto 25€. Membership košta 25€ godišnje. Mail je: n.sykora@herzkinder.at BOLNICA: Cijela zgrada je pokrivena WiFi-jem koji radi odlično. Ambulatorni pregled - s ovim smo zaista bili oduševljeni, sve ide vrlo brzo i organizovano, nama su za samo 3 sata završili opšti pregled, mjerenje, EKG, UZ srca, glave i abdomena te briseve. Na recepciji ambulante imate jednu finu ženu iz BiH što je super ako ne govorite ni engleski ni njemački. Gospođa koja radi na EKG također govori naš jezik i izuzetno je fina. Pedijatrijska ambulanta se nalazi u prizemlju MED Campusa IV (što je ujedno i glavna zgrada). Interna - nalazi se na MED Campusu IV na četvrtom spratu. Beba i ja smo bili tu smješteni dan prije operacije. Iako je soba za dvije mame i dvoje djece, ja sam bila sama. Čisto, uredno, imate kupatilo (turski tuš, umivaonik i šolju), krevete, mjesto za presvlačenje sa ugrađenom kadom te odvojeno mali umivaonik sa ormarićima. Oni će vam objasniti šta sve trebate raditi te će vas posjetiti bebin kirurg i anesteziolog i detaljno vam objasniti kakav zahvat planiraju uraditi. Dobit ćete doruĉak, ručak i večeru. Ponesite svoje bočice i izdajalicu, ali mislim da imaju i oni svoje ako želite. Intenzivna - se nalazi na MED Campusu III (zgrada pored - prizemlje). Nakon boravka na internom, sestra vas vodi na intenzivnu njegu gdje predajete bebu. Najpametniji savjet koji vam mogu dati je da za vrijeme operacije (koje traju u prosjeku 5-7 sati, plus nekoliko sati anesteziološke pripreme, kopčanja na aparate i sve ostalo) iskoristite vrijeme i NE PROVODITE ga u bolnici ili u smještaju. Iako vam na prvu neće biti do toga, natjerajte se da posjetite neku znamenitost, centar grada ili Plus City (njihov veliki shopping centar van grada), možda kupite vašoj bebi neki lijep poklon - nama je vrijeme puno brže prošlo i nismo, barem na trenutke, razmišljali o operaciji koja je bila u toku. Odmah po završetku operacije, nazvat će vas da vam jave rezultate, i dijete ćete moći na kratko vidjeti sat vremena od operacije. Vjerovatno već naredni dan ćete imati priliku posjetiti bebu na duže, i to čak od 13:00 - 18:00 te od 19:00-21:00. Dobit ćete i pamflet na hrvatskom jeziku. Većina sestara i svi doktori govore engleski i izuzetno su susretljivi i ljubazni. Kardiologija - nakon intenzivne, dijete će biti smješteno na neki od odjela - pedijatrijsku kardiologiju ili u dječiju bolnicu, zavisno od mjesta. Dječija kardiologija se nalazi na MED Campus IV na trećem spratu. Imajte na umu da Vaš boravak s bebom zavisi od njihovih kapaciteta te da se prednost daje roditeljima starije djece. Nakon intenzivne, za mene nije bilo mjesta prva dva dana te je beba bila smještena sa drugom bebom u sobi, a suprug i ja smo mogli biti s njom od 09:00 - 21:00 neprestano. Danas mi je ponuđeno da ostanem sa bebom - dobili smo privatnu sobu koja ima i svoje kupatilo, opremu (pelene, šprice, dude, peškire, posteljinu, grijač bočica, lijekove, 2 sudopera i kadicu). Prehrana funkcioniše po principu da vam donesu papir sa mogućnostima izbora za svaki dan (ručak i večera) u sedmici i za ta dva obroka na raspolaganju imate "normalni", dijetalni i bezsvinjski obrok. Po ovotjednom, mogu reći da je ponuda raznovrsna i nema ponavljanja jela. Na Odjelu rade i dvije gospođe - jedna iz BiH i druga iz Crne Gore, obje su susretljive i fine. Dodatne napomene za kardiologiju: - imaju svoje "hospital-grade" Medela izdajalice koje su super, a saznala sam kasno da sam iste mogla tražiti i dok mi je beba boravila na intenzivnoj; - požalila sam se na smanjenje mlijeka, i odmah sutradan su mi doveli sestru koja je ekspertica za dojenje i izdajanje na konsultacije; - nakon vađenja katetera iz vrata, beba je zbog bolova i neugode izbjegavala okretati glavu ulijevo, što sam usputno spomenula sestri - odmah su doveli fiziotarapeutkinju koja nam je pokazala kako olakšati bebi; - u sklopu svake bolniĉke zgrade imate sobu - kapelicu, te osoblje iz Crkve koji su na raspolaganju ukoliko vam je potrebno da s nekim porazgovarate, a koji će vas posjetiti i u sobi i pitati vas da li ste za razgovor; - u zgradi se nalazi i bogata biblioteka - knjižniĉarka će vam isto možda doći i ponuditi knjige za ĉitanje; - na raspolaganju imate i Baby Björn njihalice za bebe, a za starije i dječiji auto kojim se voze gore-dole niz hodnik HRANA Kafeterija - U Teddy Hausu obavezno tražite da vam daju karticu za bolničku kafeteriju. Ona se nalazi na -1 u MED Campusu IV i možete ručati od 12:00 - 13:00. Na raspolaganju imate izbor između dva glavna jela (jedno mesno, drugo vegeterijansko) koja se mijenjaju svaki dan, salatu, supu i desert i to uz pokaz Teddy kartice plaćate samo 3,5€ po osobi. Za dodatnu cijenu imate i odličan izbor obrok salata sa dodacima koje sami kombinirate. Nama se hrana zaista dopala i ne tražite povoljniju opciju. Preporučujem dolazak oko 12:30, jer se do tad smanji gužva koju stvaraju studenti i bude ugodnije. Vikendom ne rade. Antonia Caffe - u blizini se nalazi ako propustite ručak u kafeteriji. Imaju pristojnu hranu, pizze, Budha bowlove, vege i slično, cijene su u prosjeku 10-13€. Vikendom ne rade. Kuhanje - u Teddy Hausu na raspolaganju uvijek imate kruh i namaze za doručak, a ručak/večeru možete praviti sami. U blizini se nalazi Spar, ali imate i druge (malo dalje) opcije. Prodavnice - rade svakim radnim danom osim nedjelje i praznika, osim Spara u Bahnhofu u slučaju nužde koji radi uvijek. Naš Spar radi do 18:00. LIJEKOVI: Po otpustu će djetetu biti propisana terapija. Savjetujem odlazak u obližnju apoteku Nica gdje ćete ih moći nabaviti. Imajte na umu da se lijekovi prave (naših nije bilo u prodaji) pa smo dva dana ostali duže dok su ih pripremili. U apoteci imate gđu Elu koja govori naš jezik pa nju tražite. Najbolje zamolite, iako nije praksa, da li vam mogu odmah dati onoliku kolicinu lijekova za broj mjeseci koji vam je propisan. Račune čuvajte, to možete refundirati. DODATNI SAVJETI: - kupite austrijsku tel karticu (najbolje u Hoferu njihovu HoT karticu) - da vas doktori mogu dobiti lakše + da imate internet gdje god se nalazite; - gorivo je nešto jeftinije u gradu nego na autoputu i vinjetu najbolje kupite odmah onu od 35€ za dva mjeseca; - ako imate malu bebu, ponesite i dajte sestri rukavice za nju jer vole da vuku silne cijevčice koje ih nerviraju i grebu sami sebe; - ukoliko dojite možete svoje mlijeko donositi bebi i oni će ga na svim odjelima vrlo rado preuzeti - imajte na umu da poslije operacije bebama se daje jako malo (tipa 20ml pa se povećava) tako da je najbolje ponijeti one vrećice za pohranu, a ako imate više od toga, zamrzavajte u Teddy-ju; - ukoliko ne govorite ni engleski ni njemački, instalirajte aplikaciju "Translator" koja glasovno prevodi Vaše riječi sugovorniku; Stvari za bebu: potrebno vam je samo onoliko za vrijeme koje ćete provesti s bebom van bolnice i možda za jednu noć na internoj - na intenzivnoj i kardiologiji preferiraju svoju odjeću, da ne bi izgubili vašu, mada možete ponijeti. Šamponi, pelene, maramice, toplomjer, čarapice, benkice su vam dostupne. Ponesite bebine igračke. Sve bebine lične stvari će oni markirati sa njegovim isprintanin imenom i podacima na poleđini da se ne izgube. POVRATAK I PROCEDURA: BiH (Federacija BiH): - po povratku se javiti u Fond, putem emaila ili uživo je moguće dobiti urnek izvještaja koji je potrebno ispuniti i predati 15 dana od otpusta. Dobit ćete i upitnik o zadovoljstvu pruženim uslugama. Potrebno priložiti prevedeno otpusno pismo, bankovni račun i raĉune koje obavezno čuvate radi refundacije (smještaj, prevoz, putarine, lijekovi i sl.). Prevoz se obračunava po sistemu dokaza - avio karta, ili ako idete autom priložiti račune za gorivo i putarine. Imate pravo i na dnevnice za dane koje niste proveli u bolnici sa djetetom. Hrvatska: - po povratku imate 15 dana obavezu Hzzu dostaviti prijevod otpusnog pisma i kopiju originala pošto to plaća Hzzo. Također čuvajte račune smještaja. Refundacija prevoza sa obračunava po najjeftinijoj povratnoj autobusnoj karti što oni izračunaju. Sve možete poslati putem maila.
By Nerma Hodžić February 16, 2025
Moje ime je Nermina Hodžić. Majka sam dječaka Bakira Hodžića (10 godina), rođenog sa urođenom srčanom anomalijom hipoplazija lijeve strane srca - HLHS. Rođeni i živimo u Sarajevu. Dijagnozu smo saznali dan poslije rođenja. Rođen je kao beba u terminu, 4.150 gr težak, 56 cm dug, po rođenju odmah proplakao, apgar 9/10. Spontan porod, druga beba iz uredne trudnoće. U trudnoći niko nije mogao vidjeti anomaliju. Prvi dan nakon izlaska, beba počinje brzo da diše, orošen hladnim i ljepljivim znojem, blijed. Tu noć smo ga odveli doktoru gdje nam je rečeno da sam bebi dala previše hape i da je došlo do greške u ishrani. Bebi sam dala 20ml hape, jer sam se trudila uspostaviti dojenje. Tek kasnije sam shvatila da moja beba nije imala refleks sisanja i da nije ništa dojio jer nije imao snage. Vratili smo se kući, da bi nakon 4 sata opet odveli bebu na kliniku gdje su ga odmah primili i odveli na intezivnu njegu. Tu su ga reanimirali i stabilizovali ga. Došao je tada ljekar dr. Halimić Mirza i polako nam je pojasnio šta je bilo sa našom bebom. Sječam se da smo muž i ja sjedili u čekaonici dok doktor nije došao i samo smo molili Boga da bude živ. Kada je doktor došao, objasnio nam je sve o njegovoj dijagnozi i dao nam nadu da će sve biti dobro. Nisam znala i dan danas ne znam kako sam se osječala. Kao da se dešava nekome drugom. U jednom momentu mi je doktor crtao na papir normalno srce, na drugi papir mi je crtao srce moje bebe, kojeg nije bilo pola, i aorta koja je trebala biti velika i debela kod njega je bila mala i tanka (hipoplastična). Sjećam se da sam pitala: "K ako će on živjeti sa ovakvim srcem?" On nam je onda objasnio da djeca sa tim anomalijama prolaze kroz tri vrste operacija, i da na kraju imaju jedan kvalitetan i normalan život. Nisam to mogla u svojoj glavi sumirati, tada, jer mi je zvučalo nemoguće. Ne, nakon crteža i prognoza. Tada je dr. Halimić rekao da beba ostaje na intezivnoj i da će se prebaciti na Univerzitetsku kliniku AKH-a Beč, gdje će mu se uraditi prva pd tri operacije. 18 dana je bio na mašini, stabilan i dobar, 18-ti dan smo prebačeni u Austriju, a 20-ti dan je operisan. Operacija je trajala 12 sati, ali je prošlo sve u najboljem redu. Na intezivnoj njezi je bio 10 dana, i tu počinju problemi. Dobija sepsu, opet ide borba. Uspjeli su ga stabilizovati, i nakon 18 dana intenzivne njege prebacuju nas na odjel. Na odjelu opet problemi. Srce neće da pumpa, velike količine tekučine gubi, srčani ritam preko 300/min, jedna, druga, treća, četvrta transfuzija, 4 transfuzije albumina, 18 vrsta lijekova u perfuzomatima, doktori stalno ulaze i izlaze, razina kisika opada.... jedan korak naprijed napravimo, pet se vratimo unatrag. Sjećam se da mi je jednom tehničar ušao sa doktorima u sobu i rekao: " Mama, šta god bilo večeras sa vašim sinom, znajte da smo ovdje uz vas". Nisam ih registrovala šta mi pričaju, niti zašto, jer sve što sam ja radila je bilo gledanje u njega i u aparate iznad njega. Izdržali smo do jutra, preživio je, i došli su po njega da ga vode na intezivnu opet. Tada sam zamolila sestru da mi dopuste samo malo da ga držim, da ga pomilujem i pomirišem, da ga osjetim u rukama jer ga nisam uzela čitav mjesec. Namjestili su mi stolicu i dali mi ga. U momentu kada sam ga prinijela usnama, počela sam plakati nakon mjesec. Suze nisam pustila prije toga.. Ljuljala sam ga i ljubila, i u jednom momentu mom Bakiru su se vitalni parametri počeli vračati u normalu, sa 300-500 otkucaja na 100, saturacija sa 50 na 70%, on se zarumenio i lijepo počeo disati. Tada mi doktor dolazi nakon nekoh 4 ili 5 sati i kaže: "M ajka, nemojte ga ispuštati iz ruku, vi mu trebate ." I nisam... Nisam ga pustila nikako danima dok me nije opalio panični napad. Držala sam ga u rukama, i samo sam u jednom momentu osjetila kako nemam snage u lijevoj ruci, kako mi trne ruka i brada.. Pritisnem dugme za sestru, ona kada je došla uzima Bakira iz ruku i pita me šta je bilo. Ja nisam mogla da odgovorim, jer nisam imala sposobnost govora jer mi je sve utrnulo i jezik i lice i brada i ruke i noge. Nakon toga počinjem nekontrolisano da se tresem, čitavo tijelo, da su morali da me odnesu na krevet jer nisam bila u stanju sama hodati. Dali su mi nešto za smirenje i ja sam zaspala. Srce se smirilo, sve se malo ustabililo, ali tada Bakir dobija epi napade. Hitni CT pokaže promjene u vidu mikroishemijskih poremećaja. Na terapiji Keppra bio je dvije godine, i nikada se više nisu napadi ponovili. Druga operacija (Glenn)... Bakir ima 5,5 mjeseci, odlazimo na drugu op, koja protiče super, ali dolazi do komplikacija postoperativno. Hematom na Glennu, kojeg su hitno riješili dok je bio na intenzivnoj njezi. Poslije toga, na odjelu, hilotoraks lijevo, atelektaza lijevog plućnog krila, posebna hrana Monogen)… još mi kažu da ću ga morati hraniti na sondu. " Ma nema ništa od toga" , govorim im. Ja sam njega navikla da pije Monogen hapu jako neukusna i bljutava) na flašicu. Mjesec dana bolnice poslije Glenna. Treća operacija (Fontan)... E Fontan... Fontan je jedno čudo. Nisam vjerovala kada su mi ljekari govorili da ću ja znati kada je vrijeme za Fontan. Moj Bakir neposredno prije operacije nije mogao uz tri stepenice da se popne odmah se zamori, poplavi i sjedne. Sa 6 godina Baki dobija novu cirkulaciju. Operacija je trajala neka 3 sata, posoperativno je super sve prošlo. Samo što sam upozorila sestre na njega da se sam ekstubira. Nazvala sam tu noć da vidim kako je sestra mi je rekla da je super, i da se sam ekstubirao. Sutradan smo otišli muž i ja i kada smo ulazili na int.njegu čuli smo ga kako se svađa sa nekim, kad ono sestra koja ga je presvlačila, nije joj dao da ga obuče, htio je da ga ja prevučem. Bili smo u bolnici isto mjesec dana i na kraju otišli kući. Nedugo nakon toga počinje pandemija COVID-a. Moj Bakir dobija jaku infekciju gornjih disajnih puteva, ali nije izolovan COVID. 7 mjeseci poslije Fontan op., Bakir dobija plastični bronhitis. Nova borba, koja traje i dan danas. Plastični bronhitis je u biti poremečaj u limfnoj drenaži, usljed operacija i oštećenja limfnih puteva. Kod njega se manifestuje jakim opstrukcijama u disajnim putevima, tj. nakupljanjem cast-a. To je sadržaj gust i ljepljiv kao žvaka, a opet mekan kao spužva. Uglavnom, kako sam ja shvatila to je jedan vid propadanja Fontanove cirkulacije, a krajnji vid izlječenja te komplikacije je transplantacija srca. Njemu najbolje pomogne u tim napadima inhalacija Alteplaze (trombolitik)… koji odlijepi taj sadržaj i Ventolin sa 3%NaCl, da bi lakše iskašljao. Bakir je već godinu i po bio miran po pitanju tih opstrukcija, i prije mjesec dana mu se opet vratilo kako su počele oscilacije u vremnskim prilikama. Ja sam poslije Bakira rodila još jednu djevojčicu i to za vrijeme COVID-a. Uredna trudnoća, naravno obavila sam sve moguće pretrage vezane za razvoj, i hvala Bogu na kraju je sve bilo uredno. A kako je meni bilo? Iskreno, ne znam. Mislim da je mene lično kroz čitavo ovo putovanje koje je trajalo i traje i dan danas osnažila samo vjera u Boga. Bakira svi u porodici doživljavamo kao sasvim normalno dijete jer on to i jeste. Jako je aktivan, trenira fudbal, pametan je, ide u školu, 4 je razred, voli tjelesno najviše od svih predmeta, ima super društvo, voli se igrati i jako je duhovit. Nema nikakvih intelektualnih poteškoća hvala Bogu. Muž i ja smo shvatili da je adrenalin ono što ga pokreće. Samo neka je ekstremno. Sad ovo ljeto je naučio da roni na moru, i bez problema zaroni u dubinu do 3 m. i izroni, kada smo na moru ne izlazi iz vode, voli da skače sa stijena, sa skakaonica, sa pedalina... Ne mogu reći da me neke situacije ne izbace iz tračnica, ali to je tako u životu svakog roditelja koji ima dijete sa nekom anomalijom. Bilo fizičkom ili psihičkom. Moja sreća zaista je bila ta što sam ja kroz te operacije sa njim u bolnici imala i psihološku pomoć i podršku 2-3 puta sedmično u sklopu njegove rehabilitacije. Vjerujem i znam da mi je to održalo zdrav razum. Ja sam lično tip osobe koja je išla kroz zid glavom da bi svom djetetu pružila neophodnu pomoć i njegu I nema toga što me može zaustaviti kada je u pitanju traženje lijeka i pomoći, ne samo za njega, nego za sve troje. Šta bih poručila roditeljima? Poručila bih im sljedeće - Nema odustajanja!! Nije sve tako strašno. Jeste teško, bilo je teško, teško je i biće teško. Ali hvala Allahu na svemu i na svakom stanju. Od nečega ovako teškog uvijek ima teže. Koliko oni u svojim najslabijim momentima mogu nama da daju snage da guramo i borimo se nismo ni svjesni. Onog momenta kada se pomirite sa dijagnozom svog djeteta, i kada shvatite da ste tu gdje jeste, nema nazad, idete naprijed A naprijed vas čeka sunce, zelena livada, mir i smiraj. Naprijed vas čeka jedno biće prepuno ljubavi, sreće i milosti. Čeka vas vaša nagrada za koju ste se borili toliko teško, i toliko jako da ste mislili da nikad neće osvanuti dan kada će sve biti uredu. Dani i dani, mjeseci i godine su pred nama ako Bog da, a naše je samo da se zahvalimo dragom Bogu što je baš nas odabrao da budemo roditelji našim srčekovcima. Ne može to zaista svako. Kako moje dijete doživljava svoje stanje? To i jeste ustvari stanje, nije bolest. On sam za sebe kaže da je superheroj. Mislim da to sve govori o njemu. Nekad, ali nekad zaista osjetim da je pomalo anksiozan, pogotovo nakon što dobije ove optrukcije. On se toliko nasekira što ne može nekad da to iskašlje ili se nasekira ako počne kašljati hoće li moći zaspati, ali mi to uspijemo nekako prebroditi i preći preko toga. Zaista ja njim razgovaram kao sa odraslom osobom jer je jako pametan i inteligentan i razumije dosta toga . Motiviše me moja vjera. Motiviše me Bakir. Motiviše me svako novo otkriće i pronalazak nelog lijeka, riješenja, opcije itd.. Meni lično snagu daje moj Gospodar, jer bez Njega i Njegove podrške i pomoći ja ne bih ništa od ovoga mogla sama proći. Naravno, tu je muž i porodica, ali samo Gospodar je taj koji daje snagu i vjeru da će sve biti onako kako treba da bude. I kada se pomirimo sa činjenicom da je sve već propisano šta će biti i šta se dešava, lakše prihvatamo trenutno stanje jer znam da ima uvijek još nešto, ima neka nagrada koja nas sve čeka. Bakir je sad top. Super se osječa, super izgleda, dobrog zdravlja, bude tu i tamo nahlađen, bolestan, ali on je hvala Bogu dobro. Ko god ga vidi, a ne zna za njegovu dg, ljudi se zaprepaste kako on dobro izgleda kada saznaju. Jedina nam je sada briga i tražimo načine da nađemo bar nekog od stručnjaka vezano za plastični bronhitis. Ima načina, ima i ljekara, ali ke jako teško pronaći način da se dođe do njih. Ali, to je za neku drugu priču, ukoliko budete zainteresovani. Ja mislim da za ovo stanje ima načina u liječenju pored poznatih načina, ali trebamo samo nekoga ko bi nam pomogao da povežemo situacije i metode liječenja.
By Andrej Doko, Petar Kosijer, Sikozile Ncembu February 15, 2025
Šta je karcinom? Rak (cancer) je poremćaj rasta, diferencijacije i funkcije ćelija do kojeg dovodi više faktora. Predstavlja drugi vodeći uzročnik smrti u svijetu i prvi u Europi. Još mučnija od pomenute smrtnosti je emocionalna i fizička patnja koju nanosi. Pacijenti i javnost se često pitaju: „Kada će biti lijeka za rak?“ Odgovor na ovo jednostavno pitanje je težak, jer rak nije jedna bolest, već mnogi poremećaji koji imaju disregulaciju rasta ćelija. Neki karcinomi, poput Hodgkinovih limfoma su izliječivi, dok su drugi, poput raka pankreasa, praktično uvijek fatalni. Jedina nada za kontrolu raka leži u saznanju o njegovoj patogenezi i blagovremenoj dijagnostici, napravljeni su veliki koraci u razumjevanju molekularnih osnova karcinoma. Kako nastaje? Većina neoplazmi (tumora) nastaje kao rezultat abnormalnosti u ekspresiji gena koji učestvuju u kontroli ćelijske proliferacije i diferencijacije. Postoje dvije osnovne komponente tumora to su parenhim i stroma. Parenhim predstavlja proliferušiće neoplastične ćelije, dok je stroma vezivno tkivo, vaskulatura, zaštitino nutritivna potpora tumoru koja mu omogućava da preživi. Benigni tumori su dobro diferencirani, sporo napreduju, uglavnom se zadržavaju na jednom mjestu. Maligni tumori su slabije diferencirani od benignih, ćelije su anaplastične invazivni su i metastaziraju na udaljenim organima. Može li se spriječiti? Imajući u vidu da rak nije jedna bolest teško je govoriti o određenim smjernicama za spriječavanje raka. Ipak, moguće je umanjiti rizik izbjegavanjem faktora koji dovode do nastanka raka, kako generalno tako i pojedninačno raka nekog organa ili tkiva. Treba naglasiti sakodnevnu ulogu našeg imuniteta u suzbijanju daljeg napredovanja ćelija koje imaju potencijal da se razviju u rak. Tako da pravilna i uravnotežena ishrana, kroz unos vitamina i drugih jedninjenja koji pomažu jačanje našeg imunog sistema. Tu su vrlo važni i antioksidansi, budući da oksidativni stres dovodi do oštećenja DNK, koje kao što je već navedeno igra ulogu u nastanku tumora. Također tu spada svakako i izbjegavanje loših životnih navika, kao npr. cigarete i alkohol koji se dovode u vezu sa karcinomima određenih organa, prije svega pluća i jetre, zatim vakcinacija protiv HPV-a, te izbjegavanje rizičnih odnosa znatno smanjuju rizik nastanka raka grlića maternice. Kad su u pitanju faktori okoline, iako nekad ne možemo previše utjecati, koliko je moguće izbjegavati jonizujuće zračenje, stres, te teške metale i druga kancerogene. Koje su najčešće vrste raka? Najčešće vrste raka u Bosni i Hercegovini su: rak dojke, rak prostate, rak pluća i rak debelog crijeva. Najčešći tipovi raka u dječjoj dobi uključuju leukemiju, karcinom mozga, neuroblastom i Wilms tumor. Za razliku od nekih karcinoma kod odraslih, karcinomi u djetinjstvu nisu povezani s načinom života i općenito se ne mogu spriječiti ili identificirati probirom. Kako se dijagnosticira i prati? Jedan od razloga zbog kojih se rak smatra zloćudnom bolešću je da kada se pojave simptomi uglavnom već bude kasno. Ipak savremena screening dijagnostika ima potencijal da otkrije na vrijeme kancerozne promijene, te samim tim i produži životni vijek. To uključuje radiološke dijagnostičke metode kao što su MR, CT i PET, kojima se utvrđuje lokalizacija i širenje, biopsija tj. patohistološke metode kojima se utvrđuje stepen progresa, tumor markeri koji u kombinaciju sa ostalim metodama igraju važnu ulogu u dijagnostici i praćenju bolesti. Tu su svakako i savremene laboratorijsko-molekularne poput PCR-a, metode sekvenciranja DNK koje nam daju uvid u samu genetiku i procjenu rizika od nastanka određenih vrsta raka. Kako se liječi? Pristupi liječenju ovise o dijagnostičkim informacijama, proširenosti bolesti i prognozi. Oni mogu biti kurativni (usmjereni na izlječenje) ili palijativni (usmjereni na ublažavanje patnje). Saradnja između različitih stručnjaka ključna je za učinkovito planiranje liječenja. Liječenje može biti hirurško ili nehirurško, ovisno o procjeni koliko je rak uznapredovao, mogućnosti daljnje progresije, lokalizaciji - je li operativno dostupan - te hoće li zahvat donijeti više koristi nego štete. Danas dostupni primarni tretmani uključuju operaciju, kemoterapiju i terapiju zračenjem. Hirurgija ima za cilj ukloniti što je moguće veći dio raka kada je lokaliziran. Kemoterapija koristi citotoksične lijekove koji mogu uzrokovati oštećenje ili smrt ćelija koje se brzo dijele; međutim, također može utjecati na zdrave ćelijee, što dovodi do nuspojava. Terapija zračenjem koristi visokoenergetske zrake za uništavanje ili oštećenje ćelija raka. Ostali tretmani uključuju hormonsku terapiju za rak za hormonski zavisne tumore, kao što su rak dojke, prostate i jajnika, čiji rast ovisi o hormonima; terapija matičnim ćelijama kod hematoloških maligniteta poput leukemije i limfoma; imunoterapija koja pojačava imunološki odgovor protiv raka; i ciljane terapije koje su usmjerene na specifične molekularne promjene u tumorima. Nedavni napredak u liječenju raka, posebice u imunoterapiji, djeluje obećavajuće u vezi poboljšanja ishoda za pacijente uz smanjenje nuspojava. Ovi inovativni pristupi usmjereni su na specifično ciljanje i uklanjanje ćelija raka. Iako još ne postoji niti jedan "čudesan" lijek za rak, kombiniranje terapija nudi nadu za poboljšane stope preživljavanja i kvalitetu života pacijenata Koje su savremene terapije i u kojem smjeru ide medicina u pogledu liječenja? Jedan od pristupa na kom se dosta istražuje u skorije vrijeme je tzv. targetna terapija. Glavni mehanizam targetne terapije jeste ciljanje komponenti relevantnih ćelijskih procesa, a izvjesni mehanizmi uključuju: inhibiciju signalnih puteva, indukciju apoptoze, inhibiciju proliferacije, kao i regulaciju imunog sistema (Ke & Shen, 2017). Naučnici su istraživali sa različitim tipovima raka poput raka dojke, raka pluća, mijeloidne leukemije, kao i različitim oblicima karcinoma i najčesće targetirani signalni putevi uključuju PI3K/Akt signalni put, kao i RAS/Raf/MAPK i VEGF-mTOR puteve. Kod raka dojke ciljani protein u molekularnoj terapiji je ljudski epidermalni receptor HER2, a efikasni agensi u molekularnoj terapiji su lijekovi trastuzumaba i pertuzumaba koji su antitela po strukturi, kao i inhibitori tirozin kinaza apatinib, afatinib i neratinib (Perez et al., 2017). Kod raka pluća, ciljani protein je receptor epidermalnog faktora rasta (EGFR), a mehanizam djelovanja molekularne terapije uključuje dejstvo na PI3K/Akt signalni put pomoću inhibitora tirozin kinaza. Uprkos pozitivinim preliminarnim rezultatima, pacijenti razviju rezistenciju na inhibitore u roku od godinu dana (Castellanos & Horn, 2015). Kod terapije mijeloidne leukemije, glavni mehanizam djelovanja je inhibicja proteina FMS-like receptor tirozin kinaze pomoću kombinovane terapije alkaloida homoharingtonina (cefalotaksin, OMA) i inhibitora tirozin kinaze sorafeniba (Xu et al., 2015). Npr., kod karcinoma bubrega (renal cell carcinoma), ciljni proteini su vaskularni endotelijalni faktor rasta (VEGF), kao i mTOR protein (mammalian target of rapamycin), a mehanizam delovanja uključuje upotrebu inhibitora VEGF-a pod nazivom bevacizumab i inhibitora mTOR-a pod nazivima temsirolimus i everolimus (Ke & Shen, 2017). 
By Eldina Muhibić Atović February 15, 2025
Moje ime je Eldina, majka sam dječaka Hamze koji ima 3 godine. Dg HRHS BIH, Sarajevo. Od samog početka, moja trudnoća je bila jako napeta, iscrpljujuća i nikako nisam uživala u njoj. U 12. sedmici trudnoće sam tokom redovnog pregleda dobila vijesti da je nuhalni nabor bebe jako visok (4.2). Moj ginekolog mi je tada saopštio razne komplikacije i dijagnoze koje bi mogle biti zbog povišenog nuhalnog nabora i da ukoliko želim prekinem trudnoću u ranoj fazi. To me jako psihički poljuljalo, dotuklo jer sam već i prije ove trudnoće imala spontani pobačaj. Odlučila sam da ću ići do kraja sa vjerom u Boga. Tako je i bilo, te nakon nekoliko odrađenih testova, stanje se poboljšalo. Trudnoća je tada tekla jako dobro i uredno, kako kažu "školski". Kada sam ušla u 28 sedmicu, tačnije u 7. mjesec trudnoće, otišla sam na redovan ginekološki pregled gdje su me iznenada dočekale loše vijesti. Moj ginekolog je tada vidio promjenu na srcu bebe i uputio me na pregled kod doktora fetalne ehokardiografije. Odlazeći do njega, bila sam u šoku, ali sam i dalje imala nadu da se desila greška na aparatu i time sebe tješila. Međutim, nakon 4 sata čekanja na pregled saznajem ponovo loše vijesti... "Gospođo, Vaše dijete ima tešku srčanu manu, da li će preživjeti, ne znamo, da li će se trudnoća iznijeti do kraja, ni to ne znamo, ali je stanje jako ozbiljno i Vi se sad vodite kao visokorizična trudnica... " to su bile riječi doktora fetalne ehokardiografije... U tom trenutku, moj svijet je stao, tišina u sobi, moj tihi plač, nevjerica, jednostavno šok. More pitanja u glavi, šta dalje.... U svemu ovome, imala sam najveću podršku, podršku mog muža. On je bio moj smiraj i lijek za dalje. Zajedno smo išli korak po korak, razmišljali, planirali, borili se. Samo ja i on. Niko osim nas dvoje nije znao da prolazimo najteži period u našim životima. Trudnoća je nakon toga išla jako dobro, beba se uredno razvijala, dobijala na kilaži, redovno sam osjećala pokrete. Kad sam ušla u 38 sedmicu, porod je krenuo. Porodila sam se prirodnim putem 11.01.2022. godine u 02:00h. Tad je na svijet stigao moj hrabri dječak Hamza, tezak 3550kg, visok 52cm. Porod je protekao uredno, obzirom da sam bila prvorotkinja, trajao je dva sata. Bebu sam uspjela kratko držati na prsima, pomilovati ga, nakon čega su ga brzo odnijeli na sve moguće preglede. Tada je već počela borba, bitka za život našeg Hamze. Hamza je bio priključen na aparate koji su ga održavali da živi. Bilo je upitno prvih 48h da li će uopšte ostati živ.... Drugi dan nakon poroda sam odmah izašla iz bolnice, a on je ostao... osjećaj da sama izlazim bez bebe.... jako tužan... osjećala sam se bespomoćno... Obzirom da je bila korona, svaki dan smo zvali pedijatrijsku kliniku, pitali za stanje djeteta, a odgovor je uvijek bio isti "stanje je stabilno". Zauvijek ću mrziti tu rečenicu, koja ne znači konkretno ništa, ali daje neku nadu za dalje... Nakon 48h boravka na aparatima, stanje je bilo zaista stabilno, Hamza je hvala Bogu je preživio najteze. Tada je krenula naša prava borba, dobila sam ogromnu snagu i vjeru da će sve biti dobro. Jer kako kažu " strpljenje je gorko, ali su plodovi slatk i". Deseti dan smo dobili poziv da nas hitno izmještaju vani, u Tursku, da se obavi prva operacija. Hamza i ja smo putovali sanitetskim letom, a muž je odmah krenuo za nama komercijalnim. Tek porođena, nisam mogla hodati, sjediti, bolovi su bili prisutni konstantno, ali u tom trenutku sam mislila samo na svog Hamzu, da on bude dobro, ništa mi više nije bilo bitno. Kad smo stigli u Tursku, u bolnicu Acibadem Bakirköy, Hamzu su smjestili odmah na intenzivnu, mene u pacijentsku sobu gdje sam dočekala i muža. Sve vrijeme smo bili zajedno, isčekivali nove informacije, nadali se najboljem. Prilikom prvog susreta doktor Ahmet Arnaz nam je objasnio situaciju gdje je naglasio da se moraju izvršiti 3 operacije na Hamzi. Prvu operaciju je imao sa 14 dana života gdje je urađen centralni šant, a sama operacija je trajala 5 sati. Nama vječnost... Sjećam se, kad je završena operacija, doktor je rekao " Ovako mali, a pravi Hamza-lav ". I bio je upravu... 
By dr. Selma Terzić-Salihbašić February 14, 2025
Ja sam Selma Terzić-Salihbašić, a ovo je priča o mom hrabrom sinu Zayanu koji ima 3 mjeseca i dijagnozu plućne atrezije, HRHS i ebsteinoidno izmijenjen trikuspidni zalistak. Zayan je rođen 14.11.2024. godine. Ovaj najsretniji dan je postao možda i najstrašniji dan kada su meni i suprugu rekli da zbog određenih ultrazvučnih promjena na srcu moraju da ga hospitalizuju na neonatologiji. Tu noć je i intubiran. Najteži trenutak za svaku majku je kada njena beba nije sa njom. Nakon ultrazvuka i CT angiografije potvbrđena je dijagnoza plućne atrezije (u njegovom slučaju je plućni zalistak ostao zatvoren) i postalo je jasno da je jedina nada odlazak u Tursku i operacija. Sa svega 5 dana, Zayan i ja smo se ukrcali u mali avion sa inkubatorom i hitno otišli za Istanbul.
Show More